- 云南省120急救中心
- 云南省三级专科医院
- 云大医学院技术合作医院
- 原云南骨科医院
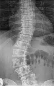
特发性是脊柱畸形的较常见原因,主要是引起脊柱侧凸。从病因学上来讲,并不十分明确,但是和基因和遗传具有一定关系,此外还存在椎旁肌肉本身分布不平衡的原因。形态学是指椎体本身没有结构异常,椎体分隔正常,拥有对称的椎弓根,发育正常的椎板和关节突。 》》》百看不如一问,咨询专家如何对症治疗

特发性脊柱畸形即原因不明的脊柱畸形,这部分患者约占80%。其发病原因目前为止可认为与下列因素有关:
1、遗传因素:有些患者其兄弟姊妹、父母等直系亲属中均有脊柱畸形现象,即有明显的家族史。此类弯曲发生比较晚,一般12~13岁时发现,发展也较缓慢,弯曲部位多局限于腰段,畸形不严重。 >>>结合自身情况,有疑问请点击咨询在线专家
2、激素影响:有些特发性脊柱畸形患者的身高比同龄非脊柱畸形者高,使人们想到生长激素可能与脊柱畸形有关,有人发现生长激素和促生长因子的释放在特发性脊柱畸形患者中有明显的增高。》》》清晰了解自身病情,点击在线咨询专家
3、结缔组织发育异常:在特发性脊柱畸形的患者中可以发现结缔组织有胶原和蛋白多糖的质与量的异常。这究竟是弯曲的原发因素,还是继发因素尚未定论。《《《要做哪些检查可以确诊,点击咨询在线专家
特发性特发性脊柱侧凸分为手术治疗和保守治疗两种方法:
进行手术的标准存在一定争议,多数学者认为侧弯Cobb角度在45°以上,或者出现肩关节或者骨盆失平衡,可以考虑手术治疗,手术方式可以分为侧前方手术和后路手术进行固定矫形植骨融合。》》》清晰了解自身病情,点击在线咨询专家
保守治疗可以分为观察和支具治疗,对于可以观察的患者,通常认为具备一定生长能力(即Risser征小于3),同时局部Cobb角度小于25°,或者Risser征为4或5,脊柱已经停止生长,但是局部Cobb角度没有达到手术标准;支具治疗,是指脊柱具备一定生长能力(Risser征小于3),局部Cobb角度位于25°至45°之间的患者。对于支具的选择,可以根据侧凸顶椎的位置选择相应类型,一般侧凸顶椎位于T7水平以上,可以选择Milwaukee支具,而位于T7水平以下可以选择Boston支具。 》》》百看不如一问,咨询专家如何对症治疗
温馨提示:上面就是对“特发性脊柱畸形”的相关介绍,希望大家能有一定的了解。无论是什么类型的、什么原因的脊柱畸形,影响都是很大的,都需要积极诊断矫正才行。有什么疑问,可以直接在线咨询专家,咨询热线0871-65311120。