您好,欢迎来到云南(中德)中德骨科医院【原云南骨科医院】官方网站!紧急情况可拨打急救电话:0871-65311120
  • [脊柱畸形] 脊柱侧弯的症状

    发布时间:11-16 16:53:31 来源:云骨医院  阅读:8157次
    导读: 正常脊柱从背后看是直的,侧面看是呈S型的。脊柱侧弯在触摸脊柱时,常可发现脊柱异常弯曲或后凸,肩胛和背部不对称,高低不平。
    标签: 脊柱侧弯 腰部疼痛 腰椎管狭窄
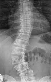
  • [脊柱畸形] 创伤性脊柱畸形

    发布时间:11-03 09:55:40 来源:脊柱科  阅读:5726次
    导读: 云骨脊柱专家指出,椎体骨折可导致创伤性脊柱后凸畸形,主要发生在胸腰段。随着近年来交通事故的增加,胸腰段骨折病例明显增多。创伤所致后凸畸形已成为临床常见的病因,主要是脊柱受到屈曲或垂直压缩暴力。
    标签: 创伤性 脊柱畸形
  • [脊柱畸形] 特发性脊柱畸形

    发布时间:11-03 09:33:11 来源:脊柱科  阅读:6467次
    导读: 特发性是脊柱畸形的较常见原因,主要是引起脊柱侧凸。从病因学上来讲,并不十分明确,但是和基因和遗传具有一定关系,此外还存在椎旁肌肉本身分布不平衡的原因。形态学是指椎体本身没有结构异常,椎体分隔正常,拥有
    标签: 特发性脊柱畸形

就医指南

地址:云南省昆明市官渡区昌宏路(与广福路交汇口)

客服热线:0871-65311120

在线时间:周一~周日08:00-23:00

查看详情:点击查看全部

  
关于云骨 | 就医指南 | 官方微博 | 专家团队 | 视频中心 | 在线咨询 | 返回首页

Copyright © 2006 - 2015 云南骨科医院 (官)医广【2022】第09-07-01号    滇ICP备13006732号

联系地址:云南省昆明市官渡区昌宏路(与广福路交汇口)   联系电话:0871-65311120 咨询 Q Q:2608203832

注:本网站信息仅供参考,不能作为诊疗及医疗依据,未经授权请勿转载。

线